Real Results, Real Confidence
If you’ve ever felt self-conscious about teeth that stick out or extend beyond your natural bite, you’re not alone. Dental protrusion, also known as “buck teeth” or “overjet,” is a common concern for teens and adults alike. Fortunately, modern orthodontics offers a discreet, effective solution: Invisalign clear aligners.
At Beverly Hills Orthodontics, led by Dr. Monica Madan, we specialize in advanced Invisalign treatment for even complex cases like protrusion. With the right expertise and technology, we can guide your smile back into balance, without metal braces.
What Is Dental Protrusion?
Protrusion refers to a condition where the upper front teeth extend too far forward relative to the lower teeth. This can affect both appearance and function, often resulting in:
- Difficulty closing the lips comfortably
- Speech issues or a lisp
- Increased risk of dental injury
- Jaw discomfort or bite problems
- A lack of confidence when smiling or speaking
Common causes include genetics, thumb-sucking in early childhood, or abnormal jaw growth patterns. But no matter the cause, Invisalign offers a path to correction that’s clear, convenient, and confidence-boosting.
Can Invisalign Fix Protrusion?
Yes, it can. Thanks to smart aligner technology and customized treatment planning, Invisalign is highly effective at treating many types of protrusion, including:
- Mild to moderate overjet
- Flared upper front teeth
- Protrusion related to spacing or crowding
- Combined protrusion and bite issues
With expert oversight from Dr. Madan, Invisalign can gently guide teeth into a more natural alignment.
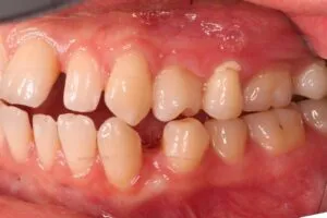
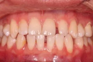
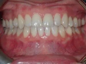
Real Results: See the Transformation



Our before-and-after results speak for themselves. Patients not only love the improved look of their smiles but also report greater comfort, ease of speech, and long-term confidence.
How Invisalign Works for Protrusion
Here’s what the process looks like at Beverly Hills Orthodontics:
1. Digital Assessment
We use 3D scanning to create a high-resolution map of your teeth. This lets us evaluate the degree of protrusion and design a personalized treatment plan.
2. Custom Aligner Design
Your clear aligners are crafted using SmartTrack® material to apply gentle, consistent pressure on the teeth that need to move backward or rotate.
3. Gradual, Guided Progress
You’ll wear each set of aligners for about a week, switching to the next in the series as your teeth shift. Most patients see significant improvement within a few months.
4. Retention & Maintenance
Once your smile is aligned, we provide custom retainers to keep your results long-lasting and stable.
Why Choose Beverly Hills Orthodontics?
Correcting protrusion with Invisalign requires more than just aligners — it takes expert planning, clinical judgment, and a keen eye for aesthetics. Dr. Madan is renowned for treating complex Invisalign cases with stunning results.
Here’s what sets our practice apart:
- Trained orthodontist with years of Invisalign success
- State-of-the-art 3D imaging and smile simulations
- Flexible scheduling, remote monitoring, and transparent pricing
- A boutique, supportive experience from consultation to final smile
We proudly serve patients across Beverly Hills, Downtown LA, Alhambra, Toluca Lake, and surrounding areas.
Is Invisalign Right for Your Smile?
Every smile is unique. During your consultation, we’ll evaluate:
- The severity and cause of your protrusion
- Your overall bite and jaw alignment
- Whether Invisalign or a hybrid approach will deliver optimal results
If Invisalign is a fit for your needs, we’ll show you a digital preview of your future smile before you even start treatment.
If you’re ready to correct protrusion and achieve the confident smile you’ve always wanted, Invisalign with Beverly Hills Orthodontics could be your perfect match.
