Click here to download this guide in PDF format.
PREPARING FOR YOUR VIRTUAL VISIT
We can’t wait to see your smile!
What you will need:
- Your smartphone
- The Zoom Meeting App
- Your unique and encrypted Zoom meeting link
- Have a piece of floss at the ready! We may ask you to floss between specific teeth
- Your removable appliance (if applicable)
How to Take Orthodontic Photos
What you will need:
A family member, friend, or tripod
A cell phone with a camera
Two plastic or metal spoons
HOW TO TAKE YOUR SMILE SELFIES
Have a friend or family member help you snap 8 key photos.
Please include one of each displayed below
A few tips
- Good lighting helps
- Use a white, or light background
- Pull your hair back if you have long hair
- Remove any distracting jewelery
SMILE SELFIE #1
No teeth
Keep lips relaxed and slightly apart
Natural head position with eyes looking forward
Entire head and neck displayed
SMILE SELFIE #2
Face the camera, relaxed face
Eyes are open and looking into camera
Ears exposed
No distracting eye wear or jewelry
SMILE SELFIE #3
Still facing the camera, give us a natural or social smile 😉
HOW TO TAKE YOUR SMILE SELFIES
Help us get an accurate picture.
For the next series of photos you’ll need your spoons.
Using the spoons retract your cheeks as demonstrated in the photos below.
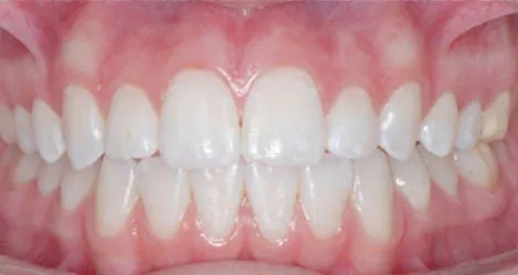
SMILE SELFIE #4
Your teeth from the front
SMILE SELFIE #5
Label the next two as RIGHT SIDE
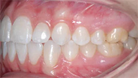
SMILE SELFIE #6
Label the next two as LEFT SIDE
SMILE SELFIE #7
An aerial view of your bottom teeth.
This might be tricky, if you have issues you may omit.
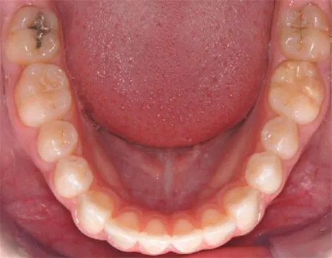
SMILE SELFIE #8
An view of your top teeth.
This might be tricky, if you have issues you may omit.
YOU’RE ALL DONE!
Now that you’ve taken some amazing photos, please email them to info@beverlyhillsortho.com
WE CAN’T WAIT TO MEET YOU VIRTUALLY SOON!









